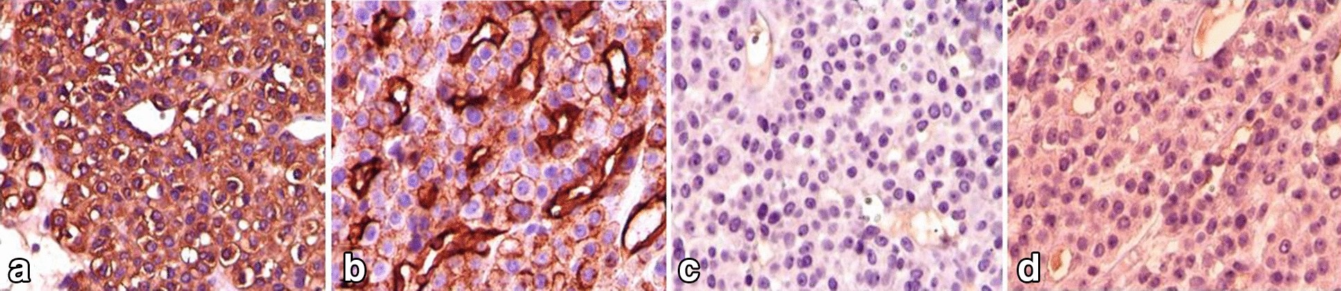
Fig. 4From: An unusual case of chest wall glomus tumor presenting with axillary pain: a case report and literature reviewImmunohistochemical staining. a, b SMA, and CD34 positivity. c, d CK, and desmin negativityBack to article page